سعر توريد اللثة بالليزر، يعتبر من أكثر الموضوعات التي يبحث عنها الكثير من الأشخاص الذين يرغبون في تحسين شكل الابتسامة والتخلص من تصبغات اللثة التي تؤثر بشكل كبير على مظهر الأسنان العام.
ومع تطور تقنيات توريد اللثة بالليزر في البحرين، أصبح من الممكن جدًا الحصول على نتائج واضحة وأكثر أمانًا، وتظهر بوضوح عند مقارنة توريد اللثة قبل وبعد، سواء كان ذلك للمدخنين أو غير المدخنين.
وفي هذا المقال سنعرف معًا بالتفصيل:
-
ما هو توريد اللثة بالليزر؟
-
كيف يتم توريد اللثة بالليزر؟
-
طرق توريد اللثة للمدخنين
-
توريد اللثة قبل وبعد... كيف تلاحظ الفرق؟
-
أهم نصائح بعد توريد اللثة
-
تجربتي مع توريد اللثة بالليزر
-
سعر توريد اللثة بالليزر
ما هو توريد اللثة بالليزر؟

توريد اللثة بالليزر، هو عبارة عن إجراء تجميلي يهدف إلى تفتيح لون اللثة التي قد تظهر بسبب التدخين أو بسبب عوامل وراثية أو التهابات مزمنة، ولذلك يعتبر توريد اللثة بالليزر أكثر الطرق أمانًا وفاعلية لتحقيق هذه الهدف بدون أي تدخل جراحي.
أبرز مميزات توريد اللثة بالليزر
-
توريد اللثة بالليزر يعتمد على أشعة ليزر دقيقة لاستهداف الخلايا المصبوغة
-
لا يحتاج إلى تخدير كلي
-
لا يسبب نزيفًا ملحوظًا في الغالب
-
عند مقارنة توريد اللثة قبل وبعد نتائج توريد اللثة بالليزر تظهر بوضوح
وعيادات رام توفر لك أحدث التقنيات المتقدمة في توريد اللثة بالليزر، لتضمن لك تحقيق أفضل نتائج طبيعية ومتناسقة مع لون الأسنان الطبيعي.
تعرف أيضًا على: توريد البكيني بالليزر
كيف يتم توريد اللثة بالليزر؟
توريد اللثة بالليزر، يتم وفق خطوات طبية مدروسة بشكل دقيق، تضمن سلامة اللثة وتحقيق أفضل النتائج الممكنة، وتبدأ جلسة توريد اللثة بالليزر، بفحص شامل لحالة اللثة، وتحديد درجة تضبغها.
أهم خطوات توريد اللثة بالليزر
-
تقييم حالة اللثة العامة وتحديد المناطق المتصبغة بدقة
-
تنظيف اللثة والأسنان جيدًا قبل الجلسة
-
استخدام جهاز الليزر لإزالة الطبقة السطحية المتصبغة
-
متابعة تحسن لون اللثة بعد انتهاء الجلسة
وبعد الجلسة يلاحظ المريض وجود تحسن تدريجي في لون اللثة، وعند مقارنة توريد اللثة قبل وبعد يظهر الفرق بوضوح، خاصة عند الالتزام بتعليمات الطبيب بشكل كامل
ويلاحظ المرضى تحسنًا تدريجيًا في لون اللثة بعد الجلسة، ويظهر الفرق بوضوح عند مقارنة توريد اللثة قبل وبعد، خاصة عند الالتزام بتعليمات الأطباء في رام، الذين يحرصون دائمًا على تحقيق أفضل النتائج الممكنة بأعلى درجات الجودة والأمان.
إليك أيضًا: كل ما تحتاج معرفته عن قص اللثة بالليزر
طرق توريد اللثة للمدخنين

من أكثر الحالات التي تتطلب عناية خاصة، هي طرق توريد اللثة للمدخنين، لأنه بمرور الوقت يؤدي التدخين إلى تراكم التصبغات الداكنة على اللثة، والحل الأكثر فاعلية في هذه الحالة هو الاعتماد توريد اللثة للمدخنين بالليزر
أبرز مميزات توريد اللثة للمدخنين بالليزر
-
توريد اللثة للمدخنين يعمل على إزالة إزالة التصبغات الناتجة عن النيكوتين
-
تحسين لون اللثة بشكل ملحوظ، هي أيضًا من أبرز مميزات توريد اللثة للمدخنين
-
إمكانية تكرار الجلسة عند الحاجة
-
نتائج واضحة عند مقارنة توريد اللثة قبل وبعد
وفي عيادات رام نضع لك خطة علاج مخصصة لتوريد اللثة للمدخنين، ونقدم لك أيضًا أهم نصائح بعد توريد اللثة للحفاظ على جودة النتائج لأطول فترة ممكنة.
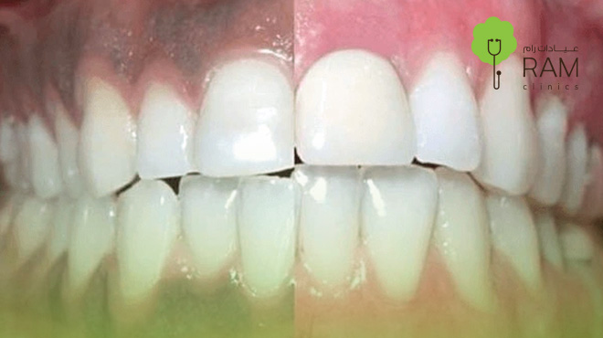
توريد اللثة قبل وبعد… كيف تلاحظ الفرق؟

الفرق بين توريد اللثة قبل وبعد، من أكثر الإجراءات التي تعمل على إظهار التحسن بشكل واضح في لون اللثة وشكل الابتسامة، ولذلك فمعرفة الفرق بين توريد اللثة قبل وبعد، تعد من أكثر الأمور التي تشجع المرضى على هذا الإجراء
نقاط توضح الفرق بين توريد اللثة قبل وبعد
-
اللثة تكون داكنة أو غير متجانسة اللون، قبل توريد اللثة بالليزر
-
بعد التوريد يصبح لون اللثة وردي وأكثر حيوية
-
يشعر المريض بتحسن مظهر الابتسامة بشكل عام
-
يشعر المريض بزيادة في الثقة بالنفس عند الابتسام بعد توريد اللثة بالليزر
وقبل بدء العلاج، نحرص دائمًا في عيادات رام على توضيح نتائج توريد اللثة قبل وبعد للمرضى.
نصائح بعد توريد اللثة
الالتزام بـ نصائح بعد توريد اللثة، يعتبر من أهم العوامل الأساسية التي تحافظ على نتائج توريد اللثة بالليزر وتمنع عودة تصبغات اللثة مرة أخرى، والالتزام بهذه النصائح يحافظ بشكل كبير أيضًا على شكل الابتسامة لفترات طويلة.
أهم نصائح بعد توريد اللثة
-
تجنب التدخين بقدر الإمكان
-
الابتعاد عن المشروبات الداكنة خلال الأيام الأولى
-
الالتزام بنظافة الفم بشكل يومي
-
استخدام غسول بعد استشارة الطبيب
-
الحفاظ على المتابعة الدورية داخل عيادات رام
ولذلك يمكن القول إن اتباع نصائح بعد توريد اللثة، يساعد بشكل كبير على تثبيت نتائج توريد اللثة قبل وبعد لأطول فترة ممكنة، وفي عيادات رام نحرص دائمًا على تقديم أفضل النصائح إلى كل عملائنا.
تجربتي مع توريد اللثة بالليزر
تجربتي مع توريد اللثة بالليزر، هي أحد الطرق البحثية التي يلجأ إليها كثير من الأشخاص قبل البدء في توريد اللثة بالليزر، وما جاء في تجربتي مع توريد اللثة بالليزر اختلف من حالة لأخرى، لكن جميع الحالات اشتركت في رضاها الكبير عن النتائج النهائية التي يحققها توريد اللثة بالليزر.
أبرز ما جاء في تجربتي مع توريد اللثة بالليزر
إحدى الحالات تقول إن تجربتي مع توريد اللثة بالليزر كانت ناجحة جدًا، ولاحظت الفرق الواضح في لون اللثة عند مقارنة توريد اللثة قبل وبعد، خاصة أنني كنت مدخن لفترة طويلة جدًا.
حالة أخرى روت إن تجربتي مع توريد اللثة بالليزر داخل عيادات رام كانت مريحة جدًا، ولم أشعر بأي ألم خلال الجلسات، والنتيجة كانت طبيعية جدًا ومتناسقة مع لون الأسنان بشكل كبير.
حالة أخرى قالت أيضًا إن تجربتي مع توريد اللثة بالليزر جعلتني أكثر ثقة في ابتسامتي، والطبيب حرص بشكل كبير على تقديم نصائح بعد توريد اللثة لتحقيق أفضل النتائج والحفاظ عليها لأطول فترة ممكنة.
ونحن في عيادات رام نحرص دائمًا على أن تكون تجربتك مميزة جدًا، من خلال أفضل الفرق الطبية في هذا التخصص، التي تحرص أيضًا على تحقيق أفضل النتائج الممكنة بأعلى درجات الجودة والأمان.
سعر توريد اللثة بالليزر

سعر توريد اللثة بالليزر في البحرين، يختلف بشكل كبير من مركز طبي لآخر ومن مدينة لأخرى، بناءًا على عدة عوامل تتعلق بالحالة العامة للثة، والتقنيات المستخدمة، وأيضًا عدد جلسات توريد اللثة بالليزر التي سيخضع لها المريض.
أبرز العوامل التي تحدد سعر توريد اللثة بالليزر
-
درجة تصبغ اللثة تتحكم بشكل كبير في سعر توريد اللثة بالليزر
-
عدد جلسات توريد اللثة بالليزر التي سيخضع لها المريض
-
خبرة الطبيب المعالج
-
نوع جهاز الليزر المستخدم أيضا من أهم العوامل في اختلاف سعر توريد اللثة بالليزر
وداخل عيادات رام في البحرين يتم تحديد سعر توريد اللثة بالليزر بدقة بعد فحص شامل لحالة اللثة وتحديد درجة التصبغ، لضمان تحقيق أفضل نتيجة ممكنة مقابل السعر.
في الختام يمكن القول إن توريد اللثة بالليزر يعتبر من أكثر الحلول التجميلية المتقدمة لاستعادة لون اللثة الطبيعي وتحسين مظهر الابتسامة بشكل واضح ويظهر ذلك عند مقارنة توريد اللثة قبل وبعد
ولأن سعر توريد اللثة بالليزر يختلف حسب الحالة وعدد الجلسات المطلوبة، فإن التقييم الطبي الدقيق يعتبر هو الخطوة الأهم في هذا الإجراء، لذلك احجز استشارتك في رام الآن، واستعد ابتسامتك المشرقة من جديد.
أضف تعليقك