هل شعرت يومًا بحساسية في أسنانك عند تناول المشروبات الساخنة أو الباردة؟
قد تكون علامة على تآكل الأسنان الأمامية، تلك المشكلة تؤثر على المظهر الجمالي للأسنان بشكل عام.
إليك في هذا المقال:
-
تعريف تآكل الأسنان الأمامية
-
أعراض تآكل الأسنان الامامية
-
أنواع تآكل الأسنان الأمامية
-
سبب تآكل الأسنان الأمامية
-
طرق علاج تآكل الأسنان الأمامية
-
كيفية الوقاية من تآكل الأسنان
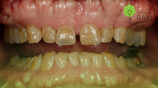
ما هو تآكل الأسنان الأمامية؟
يعتبر تآكل الأسنان الأمامية عبارة عن الفقدان التدريجي لطبقة المينا الواقية للأسنان بسبب التعرض للأحماض، مما يعمل على ضعف الأسنان وزيادة حساسيتها مما تنكشف طبقة العج تحتها.
قد يحدث تآكل الأسنان الأمامية في الأغلب بسبب تناول الأطعمة والمشروبات الحمضية.
ما هي أعراض تآكل الأسنان الامامية؟
من أبرز أعراض تآكل الأسنان الامامية زيادة حساسية الأسنان تجاه الأطعمة والمشروبات الساخنة والباردة.
إليك أهم أعراض تآكل الأسنان الامامية:

-
تغير لون الأسنان: من أعراض تآكل الأسنان الامامية تغير لون الأسنان لتصبح أكثر اصفرارًا.
-
ظهور تجاويف أو بقع: من أعراض تآكل الأسنان الامامية ملاحظة وجود تجاويف في سطح السن أو بقع بيضاء تتحول إلى اللون البني أو الأسود في مراحل متقدمة.
-
تشقق الأسنان وتكسرها: تعمل أعراض تآكل الأسنان الامامية على جعل الأسنان أكثر عرضة للتشقق والتكسر.
-
حواف خشنة أو غير منتظمة: من من أعراض تآكل الأسنان الامامية الشعور بملمس خشن أو حواف حادة.
-
تغير في شكل الأسنان: من الممكن أن تبدو الأسنان أقصر أو يتغير شكلها بشكل عام.
ما هي أنواع تآكل الأسنان الأمامية؟
من أهم أنواع تآكل الأسنان الأمامية، التآكل الناتج عن الأحماض، الناتج عن الاحتكاك، الكيميائي.
أولًا، التآكل الناتج عن الأحماض
السبب: يحدث هذا النوع من أنواع تآكل الأسنان الأمامية بسبب التعرض المتكرر للأحماض.
-
الأطعمة أو المشروبات: من أنواع تآكل الأسنان الأمامية الناتج عن الأحماض مثل عصائر الفاكهة، والمشروبات الغازية، والحمضيات، والمخللات.
-
ارتجاع المريء: قد يحدث أيضًا بسبب مرض الارتجاع المعدي المريئي، أو القيء الناتج عن الشره المرضي.
ثانيًا، التآكل الميكانيكي:
قد يحدث هذا النوع من أنواع تآكل الأسنان الأمامية بسبب:
-
الاحتكاك المباشر: يحدث بسبب صرير الأسنان، أو احتكاك الأسنان ببعضها.
-
الفرشاة الخشنة: يمكن لفرشاة أسنان قاسية مع قوة الفرك على تآكل الأسنان.
-
عادات سيئة: كثرة استخدام أشياء صلبة أو عض الأظافر قد يؤدي إلى تآكل الأسنان.
ثالثًا، التآكل الكيميائي:
قد يحدث هذا النوع من أنواع تآكل الأسنان الأمامية بسبب تفاعل السكر الموجود بالأطعمة والمشروبات مع البكتيريا في الفم.
ما سبب تآكل الأسنان الأمامية؟
في الأغلب يكون سبب تآكل الأسنان الأمامية الأحماض الناتجة عن الطعام والشراب، بالإضافة إلى العادات السيئة.
إليك ما سبب تآكل الأسنان الأمامية فيما يلي:

-
الإفراط في تناول الأطعمة والمشروبات الحمضية
في الأغلب يكون سبب تآكل الأسنان الأمامية الرئيسي الإفراط في تناول الأطعمة والمشروبات الحمضية، تتمثل في المشروبات الغازية، الليمون، البرتقال، عصائر الحمضيات، والخل، الارتجاع المعدي المريئي.
-
العادات السيئة:
أكبر سبب تآكل الأسنان الأمامية العادات السيئة بالأخص صك الأسنان، استخدام الأسنان في كسر الأشياء الصلبة، استخدام الفرشاة القاسية بشكل مفرط.
-
الجفاف المستمر في الفم:
يعتبر جفاف الفم سبب تآكل الأسنان الأمامية بسبب قلة إفراز اللعاب.
ما هي طرق علاج تآكل الأسنان الأمامية؟
هناك العديد من طرق علاج تآكل الأسنان الأمامية يعتمد اختيار الطريقة المناسبة على شدة الحالة، إليك طرق علاج تآكل الأسنان الأمامية فيما يلي:

-
تطبيق الفلورايد:
يمكن استخدام الفلورايد في علاج تآكل الأسنان الأمامية من خلال وضعه على الأسنان أو استخدامه كمضمضه لكن يجب عدم الإفراط في استخدامه.
جلسة فلورايد للاطفال: حماية مثالية لأسنان طفلك
-
حشوات الكمبوزيت:
يمكن علاج تآكل الأسنان الأمامية من خلال تطبيق حشوات الكمبوزيت لتقليل التآكل وحماية الأسنان تكون تلك الحشوات بلون مقارب من لون الأسنان.
-
العدسات اللاصقة للأسنان:
في الحالة المتطورة من تآكل الأسنان يتم تطبيق العدسات اللاصقة للأسنان لعلاج تآكل الأسنان الأمامية وذلك من خلال تحسين مظهر الأسنان بشكل عام وجعلها جذابة.
-
الفينير أو التيجان:
يمكن علاج تآكل الأسنان الأمامية في الحالات الخطرة من التآكل وذلك بهدف حماية الأسنان من التآكل والتلف، مما يساعد على استعادة شكلها ووظيفتها.
-
تعديل العادات اليومية:
للمساهمة في علاج تآكل الأسنان الأمامية يجب علاج سبب تآكل الأسنان الأمامية أولًا، التوقف عن قضم الأظافر، معالجة صرير الأسنان، تجنب استخدام الأسنان في الأشياء الصلبة، استخدام فرشاة ناعمة بدلًا من القاسية.
احجز مواعيد اسنان اطفال في البحرين.
كيفية الوقاية من تآكل الأسنان؟
هناك بعض العادات التي تحتاجها لـ الوقاية من تآكل الأسنان:

-
تقليل الأطعمة والمشروبات الحمضية
يفضل الحد من الأطعمة والمشروبات الحمضية التي تتمثل في المشروبات الغازية والمشروبات الحمضية، المخللات، الأكلات الحمضية.
-
عدم تفريش الأسنان مباشرة بعد الأكل أو شرب شيء حمضي
يفضل الانتظار حوالي 30 دقيقة بعد الأكل الحمضي حيث تكون المينا أضعف بعد الأكل الحمضي، والمشروبات الحمضية.
-
استخدام فرشاة ناعمة وطريقة تنظيف لطيفة
يفضل استخدام فرشاة الأسنان الناعمة و تحريكها بلطف لتجنب تآكل الأسنان.
-
استخدام معجون مناسب لتآكل المينا أو الحساسية
ينصح باستخدام معجون الأسنان المعالج لتقوية المينا باستمرار بعد استشارة الطبيب.
-
علاج صرير الأسنان (الجز على الأسنان)
أفضل خطوات العلاج والوقاية من تآكل الأسنان، الاهتمام بمعالجة الأسباب أولا لذا يفضل حماية الأسنان من أثناء النوم لعلاج صرير الأسنان.
-
شرب كمية كافية من الماء
يساعد شرب الماء بشكل منتظم على الوقاية من تآكل الأسنان وذلك بسبب تحفيز إفراز اللعاب لحماية الأسنان بشكل طبيعي.
-
الابتعاد عن العادات الضارة
يفضل الابتعاد عن العادات الضارة التي تتمثل في قضم الأظافر، العض على الأقلام لعدم تحفيز تآكل الأسنان.
-
زيارة طبيب الأسنان بانتظام
يساعد زيارة طبيب الأسنان بانتظام كل 6 أشهر في علاج تآكل الأسنان في مراحله المبكرة.
الأسئلة الشائعة:
ماذا قال الرسول عن وجع الأسنان؟
قال الرسول ﷺ: "عُودوا أسنانكم بالسواك"، مما يدل على أهمية تنظيف الأسنان للوقاية من الألم والتسوس.
ما هو علاج تآكل الأسنان الأمامية؟
يعتمد العلاج على الحالة، ويشمل الحشوات التجميلية، القشور التجميلية (فينير)، التيجان، وعلاج سبب التآكل مثل صرير الأسنان أو الأحماض.
ما هي أسباب تآكل الأسنان الأمامية؟
تشمل الأسباب: المشروبات الحمضية، صرير الأسنان، التفريش العنيف، العادات الخاطئة مثل قضم الأظافر، والارتجاع المريئي.
سبب تاكل الاسنان من الاعلى؟
غالبًا يحدث بسبب التعرض للأحماض، صرير الأسنان، أو الضغط المستمر على الأسنان العلوية من العادات اليومية أو مشاكل الفك.
"في النهاية"
لا يمكن إهمال أهمية الاستشارة الطبية عند مواجهة مشكلة تآكل الأسنان الأمامية.
في عيادات رام بالبحرين، ستجدون فريقًا متخصصًا يستخدم أحدث التقنيات وأعلى معايير الجودة لضمان تشخيص دقيق وعلاج فعال يحمي ابتسامتكم ويستعيد جمالها الطبيعي.
احرص على حجز موعدك اليوم مع أطبائنا واستمتع بابتسامة صحية وقوية تدوم طويلًا.
أضف تعليقك