مشكلة جير الأسنان الأسود تعتبر من أكثر مشكلات الأسنان شيوعًا في البحرين، وهذه المشكلة تؤثر بشكل ملحوظ على صحة الفم والمظهر الجمالي للابتسامة، ولذلك يبحث كثير من الأشخاص عن أفضل طرق إزالة جير الأسنان الأسود والتخلص منه بشكل آمن بدون التأثير على الأسنان أو اللثة.
أما عن جير الأسنان الأسود فيتكون نتيجة تراكم البلاك وبقايا الطعام على سطح الأسنان لفترات طويلة دون تنظيف جيد، مما يؤدي إلى تصلب هذه الترسبات وتحول لونها إلى الأسود أو الداكن.
ولذلك فإن علاج جير الأسنان الأسود يتطلب تدخلًا طبيًا في كثير من الحالات، خاصة عندما يصبح الجير صلبًا ويصعب إزالته بالطرق المنزلية.
في هذا المقال سنعرف معًا على:
-
ما هو جير الأسنان الأسود؟
-
أسباب جير الأسنان الأسود
-
علامات تسبق ظهور جير الأسنان الأسود
-
شكل جير الأسنان الأسود
-
طرق إزالة جير الأسنان الأسود في العيادة
-
طرق علاج جير الأسنان الأسود
-
طرق منزلية تساعد في إزالة جير الأسنان الأسود
-
أفضل عيادات الأسنان في البحرين
ما هو جير الأسنان الأسود؟

جير الأسنان الأسود هو عبارة عن طبقة صلبة من الترسبات تتكون على سطح الأسنان، نتيجة تراكم البكتيريا وبقايا الطعام والمعادن الموجودة في اللعاب، ومع مرور الوقت تتحول هذه الترسبات إلى اللون الداكن أو الأسود.
وشكل جير الأسنان الأسود يختلف بشكل ملحوظ عن البلاك العادي، وهو عبارة عن طبقة لينة يمكن إزالتها بسهولة باستخدام فرشاة الأسنان، بينما يكون الجير صلبًا ويحتاج إلى أدوات خاصة لإزالته.
خصائص شكل جير الأسنان الأسود
-
طبقة صلبة ملتصقة بالأسنان
-
شكل جير الأسنان الأسود له لون داكن أو أسود
-
قد يظهر بالقرب من اللثة
-
يسبب التهابات اللثة ورائحة الفم
ويجب التنويه إلى أن وجود جير الأسنان الأسود لفترة طويلة، قد يؤدي إلى حدوث مشاكل في اللثة والأسنان إذا لم يتم علاجه بشكل صحيح، ولذلك تقدم عيادات رام في البحرين خدمات إزالة جير الأسنان الأسود باستخدام أحدث أجهزة تنظيف الأسنان للحفاظ على صحة الفم والابتسامة.
اقرا ايضا : تلبيسة الزيركون للاسنان
أسباب جير الأسنان الأسود
هناك العديد من الأسباب التي قد تؤدي إلى ظهور جير الأسنان الأسود، وأسباب جير الأسنان الأسود غالبًا ما تكون مرتبطة بعادات العناية بالفم أو بالنظام الغذائي
أبرز أسباب جير الأسنان الأسود
-
عدم تنظيف الأسنان بانتظام
-
تراكم البلاك لفترات طويلة
-
التدخين من أبرز أسباب جير الأسنان الأسود
-
تناول القهوة والشاي بكثرة
-
إهمال استخدام خيط الأسنان
وكل هذه العوامل تؤدي إلى تراكم الترسبات وتحول لونها تدريجيًا إلى الأسود، لذلك في عيادات رام في البحرين يتم تشخيص أسباب جير الأسنان الأسود بدقة وتقديم خطة علاج مناسبة للحفاظ على صحة الأسنان واللثة.
علامات تسبق ظهور جير الأسنان الأسود
قبل ظهور جير الأسنان الأسود بشكل واضح، هناك بعض العلامات التي قد تظهر وتشير إلى بداية تراكم الجير على الأسنان، منها رائحة الفم وتغير لون الأسنان، والانتباه لهذه العلامات جيدًا يساعد بشكل كبير على علاج جير الأسنان الأسود في مراحله المبكرة.
علامات مبكرة لظهور جير الأسنان الأسود
-
تغير لون الأسنان إلى الأصفر أو البني
-
نزيف اللثة أثناء تنظيف الأسنان
-
رائحة فم غير مرغوبة
-
إحساس بخشونة على سطح الأسنان
واعلم أن الفحص الدوري في عيادات رام يساعد بشكل كبير على اكتشاف والقضاء على تراكم الجير مبكرًا قبل تحوله إلى جير الأسنان الأسود.
قد يهمك : علاج الم الاسنان
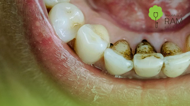
شكل جير الأسنان الأسود
شكل جير الأسنان الأسود يختلف حسب درجة التراكم ومكان وجوده على الأسنان، وغالبًا ما يظهر شكل جير الأسنان الأسود بالقرب من خط اللثة أو بين الأسنان، وظهور هذا الشكل يشير إلى ضرورة إزالة جير الأسنان الأسود في العيادة لدى طبيب الأسنان.
مميزات شكل جير الأسنان الأسود
-
لون داكن أو أسود
-
طبقة صلبة على الأسنان
-
قد يسبب تورم اللثة
-
يصعب إزالته بالفرشاة العادية
ولضمان تحقيق أفضل النتائج توفر عيادات رام في البحرين خدمات تشخيص وعلاج جير الأسنان الأسود باستخدام أجهزة تنظيف متطورة، وتحت إشراف طبي متخصص.
طرق إزالة جير الأسنان الأسود في العيادة

إزالة جير الأسنان الأسود في العيادة تعتبر من أكثر الطرق فاعلية للتخلص من الترسبات الصلبة دون الإضرار بالأسنان، وهذا الإجراء يساعد بشكل كبير على إزالة جير الأسنان الأسود بشكل كامل واستعادة نظافة الأسنان.
طرق إزالة جير الأسنان الأسود في العيادة
-
تنظيف الأسنان بجهاز الموجات فوق الصوتية
-
تلميع الأسنان بعد إزالة الجير
-
تنظيف عميق للأسنان في بعض الحالات
-
علاج التهابات اللثة المصاحبة
وفي عيادات رام يتم إجراء إزالة جير الأسنان الأسود باستخدام تقنيات حديثة تضمن لك تنظيف الأسنان بلطف وفعالية.
طرق علاج جير الأسنان الأسود

علاج جير الأسنان الأسود لا يقتصر على إزالة الترسبات فقط، بل يشمل أيضًا الوقاية من عودتها مرة أخرى.
خطوات علاج جير الأسنان الأسود
-
إزالة الجير في العيادة
-
تنظيف الأسنان بانتظام
-
استخدام خيط الأسنان
-
استخدام غسول الفم الطبي
والالتزام بهذه الخطوات يساعد على منع عودة جير الأسنان الأسود بشكل ملحوظ، وفي عيادات رام ستحصل على خطة علاج متكاملة للتخلص من جير الأسنان الأسود والحفاظ على صحة الفم لأطول وقت ممكن.
قد يهمك : عدسات الفينير للاسنان
طرق منزلية تساعد في إزالة جير الأسنان الأسود
رغم أن إزالة جير الأسنان الأسود الصلب تحتاج إلى تدخل طبي في الغالب، إلا أن بعض العادات المنزلية تساعد في تقليل تراكم الجير بشكل ملحوظ
أبرز طرق منزلية للوقاية من جير الأسنان الأسود
-
تنظيف الأسنان مرتين يوميًا
-
استخدام خيط الأسنان يوميًا
-
تقليل تناول المشروبات الداكنة
-
استخدام معجون أسنان مضاد للجير
وهذه العادات تساعد بشكل كبير في تقليل فرص ظهور جير الأسنان الأسود، وينصح أطباء عيادات رام في البحرين بالجمع بين العناية المنزلية وزيارة طبيب الأسنان المنتظمة لمنع تراكم جير الأسنان الأسود.
أفضل عيادات الأسنان في البحرين
اختيار عيادة متخصصة في علاج جير الأسنان الأسود داخل البحرين يلعب دورًا مهمًا في الحفاظ على صحة الفم، وتعتبر عيادات رام في البحرين واحدة من أفضل المراكز المتخصصة في تنظيف الأسنان وإزالة جير الأسنان الأسود، وذلك بفضل استخدام أحدث الأجهزة الطبية ووجود فريق طبي متخصص في طب الأسنان التجميلي والعلاجي.
وفي النهاية يمكن القول إن جير الأسنان الأسود يعتبر من المشكلات التي قد تؤثر على صحة الأسنان واللثة إذا لم يتم علاجها في الوقت المناسب، ولكن مع فهم أسباب جير الأسنان الأسود ومعرفة شكل جير الأسنان الأسود وطرق إزالته، يمكن الحفاظ على صحة الفم والابتسامة.
كما أن يمكن القول أيضًا إن زيارة طبيب الأسنان بانتظام تساعد على إزالة جير الأسنان الأسود مبكرًا ومنع تراكمه مرة أخرى بشكل ملحوظ.
فإذا كنت تعاني من جير الأسنان الأسود، لا تتردد كثيرًا واحجز استشارتك الآن.
أضف تعليقك