offer name
159 دينار بحريني
فروع رام البحرين

عالج العصب + تركيبة زيركون

إحجز العرض
offer name
299 دينار بحريني
فروع رام البحرين

زراعة أسنان + تركيبة زيركون

إحجز العرض
offer name
49 دينار بحريني
فروع رام البحرين

تبييض األسنان بالتقنية األلمانية

إحجز العرض
offer name
69 دينار بحريني
فروع رام البحرين

إبرة شد وترطيب ونضارة + ليزر مناطق صغيرة مجانا

إحجز العرض
offer name
99 دينار بحريني
فروع رام البحرين

بوتكس + VIP Hydrafacial

إحجز العرض
offer name
139 دينار بحريني
فروع رام البحرين

فيلر + إبرة نضارة وشد وترطيب + Basic Hydrafacial

إحجز العرض
offer name
69 دينار بحريني
فروع رام البحرين

جلسة اكزوزوم + Basic Hydrafacial

إحجز العرض
offer name
25 دينار بحريني
فروع رام البحرين

جلسة ليزر كامل الجسم + Basic Hydrafacial

إحجز العرض
الأسنان

تعرف على أسباب تكلس جذور الأسنان… وأفضل طرق إزالتها

منذ يومين
أسباب-تكلس-جذور-الأسنان

أسباب تكلس جذور الأسنان تعتبر من الموضوعات المهمة التي يبحث عنها الكثيرون داخل البحرين، خاصة أن تكلس جذور الأسنان يمكن أن يؤدي إلى مشكلات صحية في الفم إذا لم يتم التعامل معه بشكل صحيح.

وتكلس الأسنان من الداخل يحدث نتيجة تراكم طبقات صلبة داخل القنوات الجذرية، وهذا الأمر يؤثر على صحة العصب ويجعل العلاج أكثر تعقيدًا في بعض الحالات.

وتختلف أسباب تكلس جذور الأسنان بين عوامل طبيعية وأخرى مرضية، لذلك من الضروري جدًا فهم السبب الرئيسي لتحديد طريقة إزالة تكلس الأسنان المناسبة لكل حالة.

وفي هذا المقال من عيادات رام سنعرف معًا:

  • ما هو تكلس جذور الأسنان؟

  • أضرار تكلس الأسنان

  • أسباب تكلس جذور الأسنان

  • أسباب تكلس الأسنان عند الأطفال

  • علامات قد تسبق تكلس الأسنان

  • شكل تكلس الأسنان من الداخل

  • طرق إزالة تكلس الأسنان

  • طرق الوقاية من تكلس الأسنان

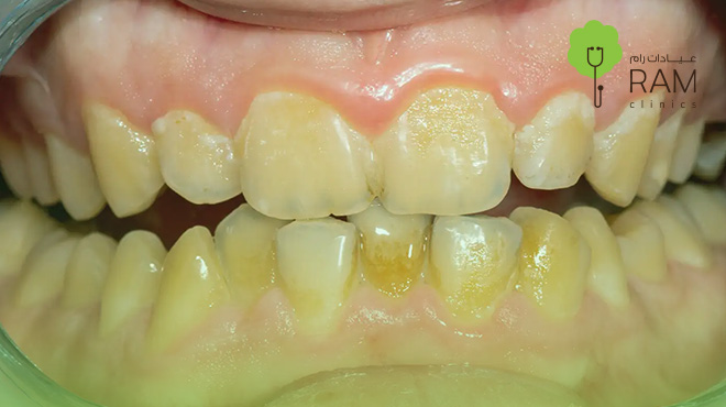
ما هو تكلس جذور الأسنان؟

تكلس-جذور-الأسنان

تكلس جذور الأسنان هو عبارة عن حالة يحدث فيها ترسب للكالسيوم داخل قنوات الجذر، وهذا الأمر يؤدي إلى تضيقها أو انسدادها بشكل جزئي أو كامل، وهذا يعرف أيضًا بـ تكلس الأسنان من الداخل.

وفي البداية قد يظهر تكلس جذور الأسنان بدون أعراض واضحة، وهذا الأمر قد يسبب صعوبة في علاج العصب لاحقًا.

فكيف يحدث تكلس جذور الأسنان؟

  • ترسب الكالسيوم داخل القنوات

  • تضيق مجرى العصب

  • تغير لون السن في بعض الحالات

وكل هذه التغيرات تؤدي بالطبع إلى ظهور شكل تكلس الأسنان الذي قد يلاحظه الطبيب من خلال الأشعة، وفي عيادات رام في البحرين يتم تشخيص تكلس جذور الأسنان باستخدام أحدث أجهزة الأشعة لضمان اكتشاف الحالة مبكرًا وتحديد أفضل خطة علاج.

ما هي أضرار تكلس الأسنان؟

أضرار-تكلس-الأسنان

أضرار تكلس الأسنان تظهر بشكل واضح عند إهمال الحالة أو عدم علاجها في الوقت المناسب، حيث يمكن أن تتطور أضرار تكلس الأسنان إلى مشكلات أكثر تعقيدًا يصعب علاجها.

أبرز أضرار تكلس الأسنان

  • صعوبة علاج العصب

  • زيادة احتمالية الالتهاب

  • تغير لون الأسنان

  • ضعف بنية السن

وفي الحالات المتقدمة يمكن أن تصل أضرار تكلس الأسنان إلى فقدان السن، إذا لم يتم التدخل الطبي المناسب، ولذلك توفر عيادات رام في البحرين حلولًا متقدمة لعلاج وتقليل أضرار تكلس الأسنان قبل تفاقم الحالة.

قد يهمك :  دكتور عصب أسنان في البحرين

أسباب تكلس جذور الأسنان

أسباب-تكلس-جذور-الأسنان

أسباب تكلس جذور الأسنان تتنوع بشكل كبير، وقد تكون هذه الأسباب نتيجة عوامل طبيعية أو مشكلات صحية، ومعرفة أسباب تكلس جذور الأسنان عند الكبار وأسباب تكلس الأسنان عند الأطفال تعتبر خطوة أساسية لتحديد الطريقة المناسبة في إزالة تكلس الأسنان ومنع تكرار المشكلة مرة أخرى.

أهم أسباب تكلس جذور الأسنان

  • التقدم في العمر

  • التعرض لإصابات الأسنان

  • التهابات مزمنة

  • إجراءات علاجية سابقة

  • تراكم المعادن داخل القنوات

وفي عيادات رام نراعي دائمًا تحديد أسباب تكلس جذور الأسنان عند الكبار وأسباب تكلس الأسنان عند الأطفال بدقة قبل بدء العلاج لضمان تحقيق أفضل النتائج الممكنة.

أسباب تكلس الأسنان عند الأطفال

رغم أن تكلس الأسنان يعتبر أكثر شيوعًا لدى البالغين، إلا أن هناك بعض أسباب تكلس الأسنان عند الأطفال التي يجب الانتباه لها بشكل جيد، للحفاظ على أسنان أطفالك.

أبرز أسباب تكلس الأسنان عند الأطفال

  • إصابات الأسنان أثناء اللعب من أبرز أسباب تكلس الأسنان عند الأطفال

  • التهابات الأسنان

  • عيوب خلقية نادرة

  • ضعف العناية بصحة الفم

وإهمال هذه الحالات قد يؤدي إلى ظهور تكلس جذور الأسنان في سن مبكر، ولذلك توفر لك عيادات رام في البحرين رعاية متخصصة للأطفال، للكشف المبكر عن أسباب تكلس الأسنان عند الأطفال وعلاجها في أسرع وقت ممكن.

علامات قد تسبق تكلس الأسنان

رغم أنه قد لا تظهر أعراض واضحة في البداية لتكلس الأسنان، إلا أن هناك بعض العلامات التي تشير إلى وجود تكلس الأسنان من الداخل، وهذه العلامات تساعد بشكل كبير في اكتشاف تكلس جذور الأسنان مبكرًا قبل تطور الحالة.

أبرز العلامات التي تشير إلى تكلس الأسنان

  • تغير لون السن

  • ألم خفيف متكرر

  • حساسية الأسنان

  • صعوبة في علاج العصب

وفي عيادات رام نتابع أي علامات مبكرة لـ تكلس جذور الأسنان، وذلك لتقديم العلاج في الوقت المناسب.

شكل تكلس الأسنان من الداخل

شكل-تكلس-الأسنان

شكل تكلس الأسنان يختلف من حالة لأخرى، لكنه غالبًا يظهر شكل تكلس الأسنان في الأشعة على شكل تضيق أو اختفاء القناة الجذرية.

أبرز ملامح شكل تكلس الأسنان

  • قنوات ضيقة جدًا

  • اختفاء جزء من العصب

  • تغير لون الجذر

وفهم شكل تكلس الأسنان من الداخل يعتبر أمرًا في غاية الأهمية لتحديد مدى تعقيد الحالة وخطة العلاج، لذلك تعتمد عيادات رام على تقنيات تصوير متقدمة لتحليل شكل تكلس الأسنان من الداخل بدقة عالية.

قد يهمك: التهاب لب السن و اسبابه

طرق إزالة تكلس الأسنان

إزالة تكلس الأسنان تعتمد بشكل أساسي على درجة التكلس ومدى تأثيره على العصب، وتعتبر إزالة تكلس الأسنان من الإجراءات الدقيقة التي تحتاج إلى خبرة كبيرة، لذلك يرجى عمل هذا الإجراء داخل مركز تحت معتمد وتحت إشراف طبي لتجنب كل أضرار تكلس الأسنان.

أبرز طرق إزالة تكلس الأسنان

  • استخدام أدوات دقيقة لفتح القنوات

  • علاج العصب تحت الميكروسكوب

  • في بعض الحالات قد يتم خلع السن

وعيادات رام في البحرين توفر لك أحدث تقنيات إزالة تكلس الأسنان بأمان ونتائج مضمونة.

طرق الوقاية من تكلس الأسنان

الوقاية تلعب دورًا مهمًا في تقليل فرص الإصابة بـ تكلس جذور الأسنان، وهناك عدة طرق هامة يجب اتباعها للوقاية من تكلس الأسنان سواء للكبار أو للأطفال.

أهم طرق الوقاية من تكلس الأسنان

  • الحفاظ على نظافة الأسنان

  • زيارة الطبيب دوريًا

  • علاج الالتهابات مبكرًا

  • تجنب إصابات الأسنان

واتباع هذه الخطوات يقلل بشكل كبير من احتمالية حدوث أسباب تكلس جذور الأسنان في المستقبل، وفي عيادات رام في البحرين نقدم لك برامج وقائية متكاملة للحفاظ على صحة الأسنان وتجنب تكلس جذور الأسنان.

وفي النهاية نصل إلى أن أسباب تكلس جذور الأسنان تعتبر من الحالات التي تتطلب وعيًا مبكرًا لتجنب حدوث المضاعفات، خاصة مع تأثير تكلس الأسنان من الداخل على صحة العصب وصعوبة العلاج لاحقًا.

ومع معرفة كل أسباب تكلس جذور الأسنان وطرق إزالة تكلس الأسنان، يمكن السيطرة على الحالة والحفاظ على الأسنان لأطول فترة ممكنة.

فإذا كنت تعاني من أعراض أو ترغب في الاطمئنان على صحة أسنانك، فلا تتردد في حجز استشارتك الآن.

 

أضف تعليقك

هل ترغب في حجز موعدك الآن؟

السبت إلى الخميس:

8 صباحًا حتى 10 مساءً

الجمعة:

2 مساءًا حتى 10 مساءً

فروعنا حولك أينما كنت

إضغط هنا لمعرفة الفرع الأقرب إليك

شركاء النجاح

alt
alt
alt
alt
alt
alt